Inicio

Fin

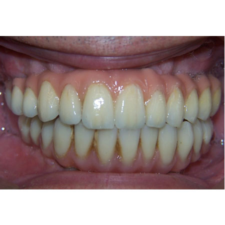
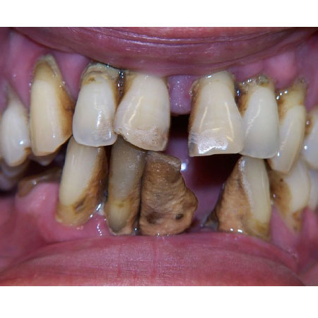
Nº 1 REHABILITACIÓN COMPLETA IMPLANTOSOPORTADA

Una periodontitis muy avanzada hizo recomendable la extracción de todos los dientes y la rehabilitación de toda la dentadura mediante implantes y prótesis cerámica.