Inicio

Fin

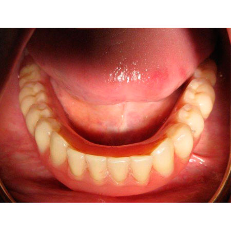
Nº3 DENTADURA COMPLETA ESTABILIZADA CON IMPLANTES

Una periodontitis muy avanzada hizo recomendable la extracción de todos los dientes y la rehabilitación de toda la dentadura mediante implantes y prótesis cerámica.