Inicio

Fin

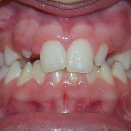
AGENESIA DE INCISIVO LATERAL