Inicio
Fin
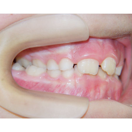
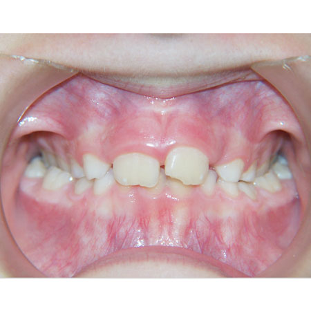
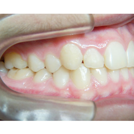
DISCREPANCIA TRATAMIENTO ORTOPEDICO SIN BRACKETS