Inicio

Fin

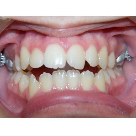
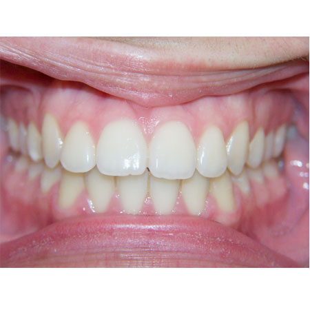
MORDIDA ABIERTA Y CIII