Inicio

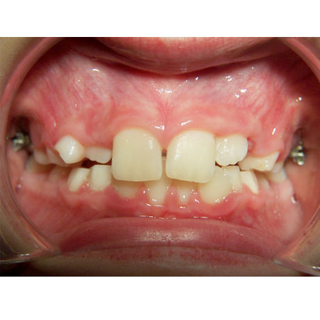
Evolucion

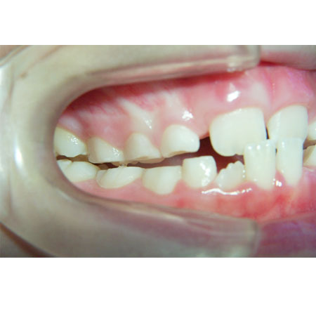
MORDIDA CRUZADA