Inicio

Evolucion

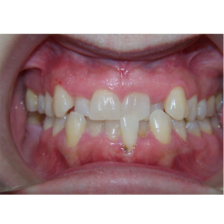
MORDIDA CRUZADA ANTERIOR ADULTO TRATAMIENTO CON BRACKETS