Inicio

FIN

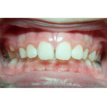
TRATAMIENTO ORTOPEDICO DE C II