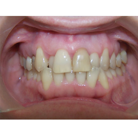
Inicio

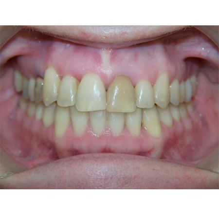
FIN

APIÑAMIENTO SEVERO SIN EXTRACCIONES