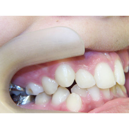
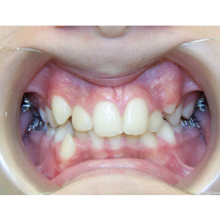
Inicio

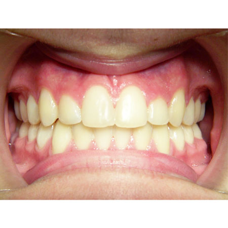
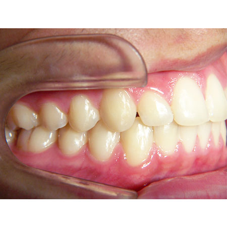
Fin

APIÑAMIENTO SEVERO TTO. SIN EXTRACCIONES