Inicio

FIN

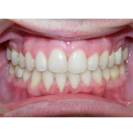
APIÑAMIENTO Y MORDIDA ABIERTA