Inicio

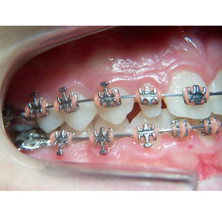
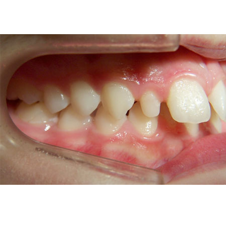
EVOLUCIÓN

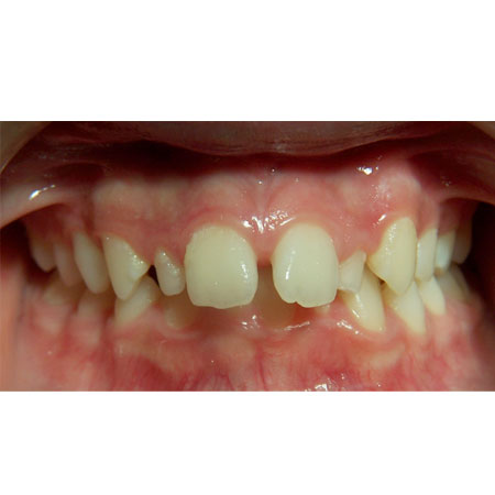
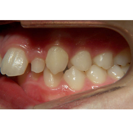
CII CON AGENESIA DE 1 INCISIVO INFERIOR Y SOBREMORDIDA