Inicio

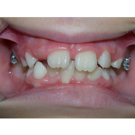
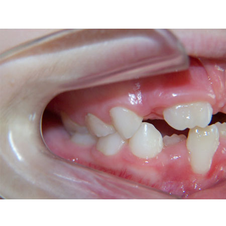
EVOLUCIÓN

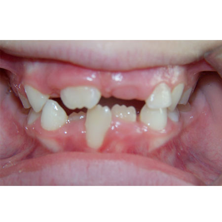
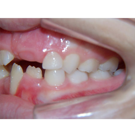
DISCREPANCIA OSEODENTARIA NEGATIVA