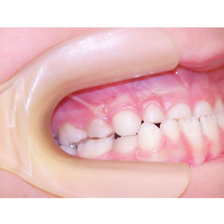
Inicio

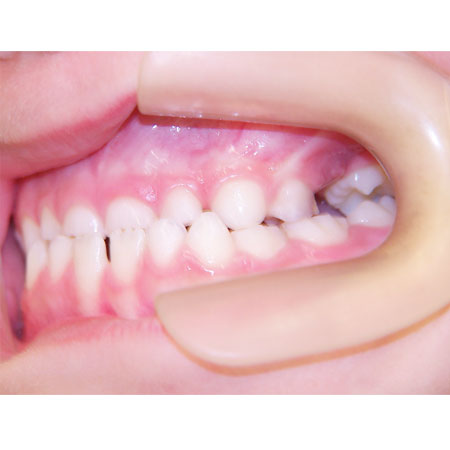
FIN

MORDIDA CRUZADA ANTERIOR