Inicio

Fin

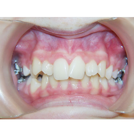
CON DISCREPANCIA OSEO-DENTARIA