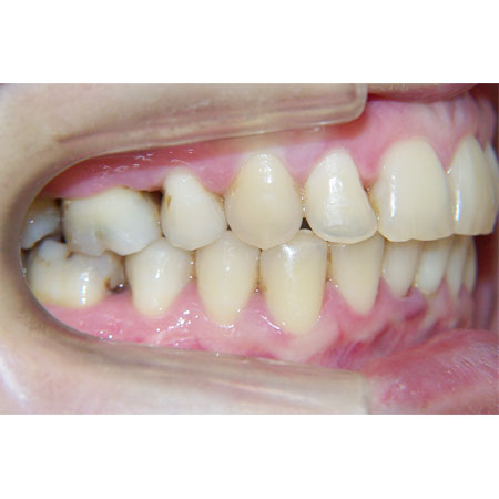
Inicio

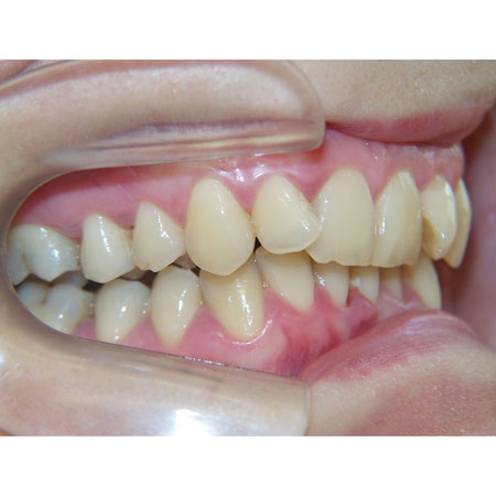
Fin

CON SOBREMORDIDA