Inicio

Fin

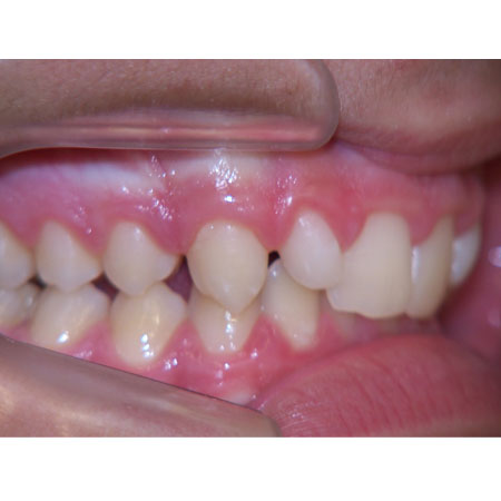
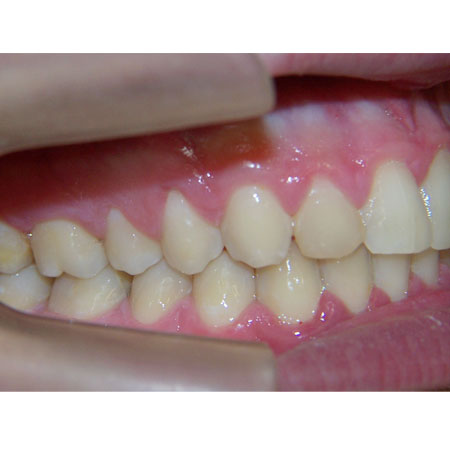
SOBREMORDIDA HIPOPLASIA DE INCISIVOS LATERALES