Inicio

Fin

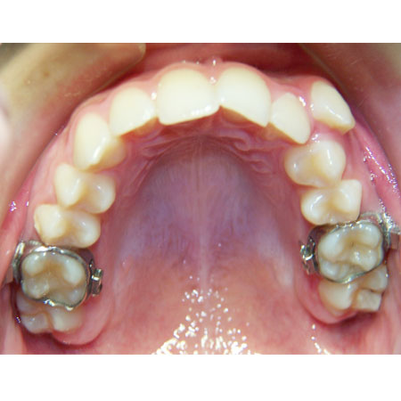
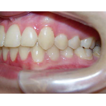
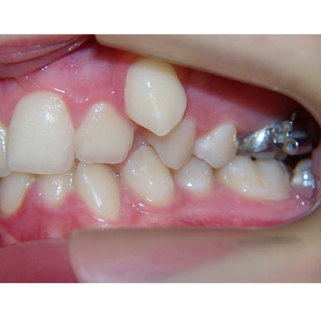
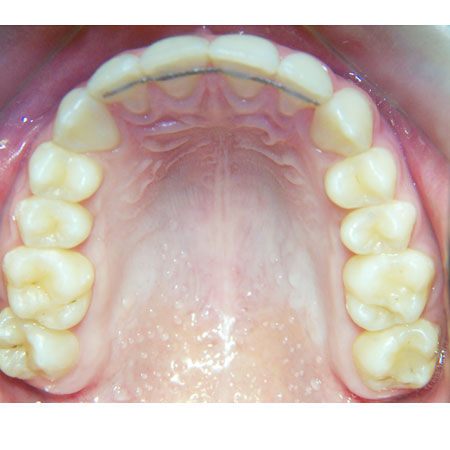
DISCREPANCIA OSEO-DENTARIA