Inicio

Fin

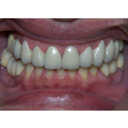
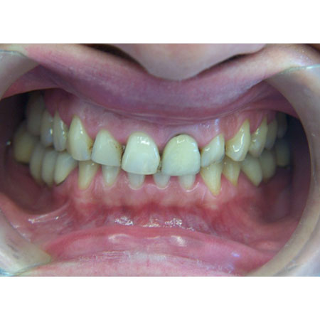
Nº 1 CASO REAL DE PRÓTESIS