INICIO
LA CLÍNICA
ORTODONCIA
Ortodoncia Estética
Ortodoncia en Niños
Ortodoncia en Adultos
IMPLANTES
ODONTOLOGÍA
Odontología conservadora
Estética dental
Odontología Infantil
Periodoncia
Prótesis
Oclusión / ATM
Cirugía oral
RADIOLOGÍA DIGITAL
CONTACTA
Tlf.
958 520 163
info@clinicaortegacubillo.com
MENU
INICIO
LA CLÍNICA
ORTODONCIA
Ortodoncia Estética
Ortodoncia en Niños
Ortodoncia en Adultos
IMPLANTES
ODONTOLOGÍA
Odontología conservadora
Estética dental
Odontología Infantil
Periodoncia
Prótesis
Oclusión / ATM
Cirugía oral
RADIOLOGÍA DIGITAL
CONTACTA
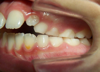
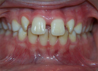
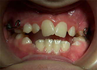
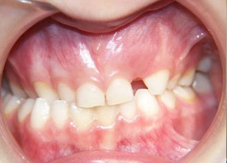
Ortodoncia
en niños
Si tu hijo tiene alguna de estas mordidas no dudes en consultarnos.
CONTACTA CON NOSOTROS
SI TU HIJO TIENE ALGUNAS DE ESTAS MORDIDAS