Ortega & Cubillo Clínica Dental

Periodoncia

La periodoncia es la especialidad odontológica que estudia la prevención, diagnóstico y tratamiento de las enfermedades de las encías y los tejidos que dan soporte al diente.


PERIODONTITIS o ENFERMEDAD PERIODONTAL

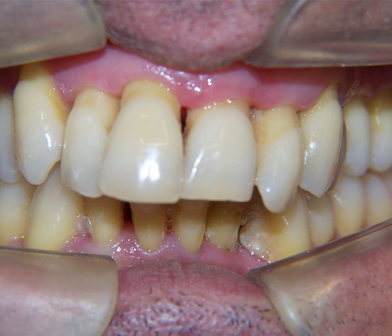
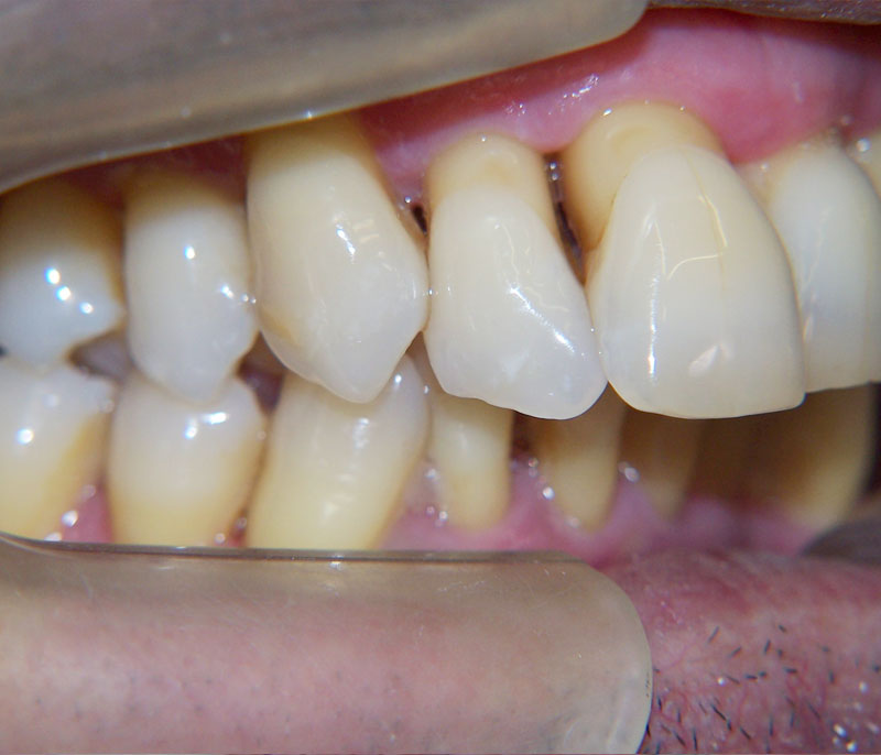
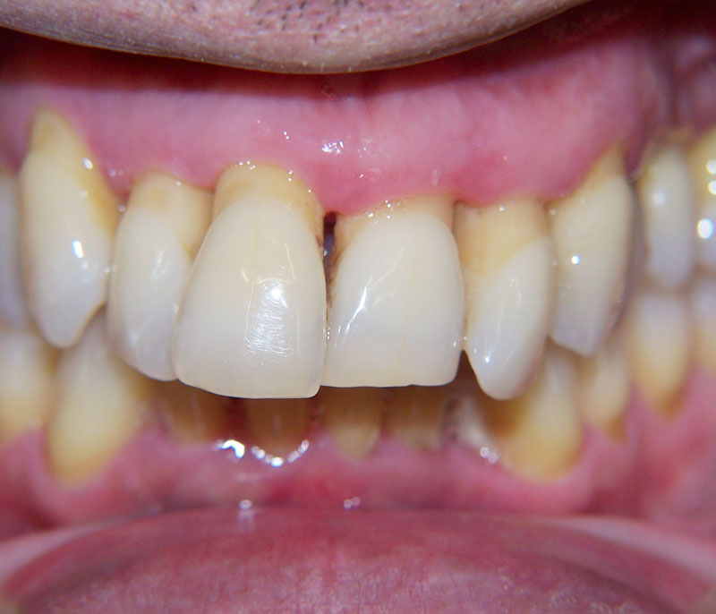
Es la enfermedad que afecta a los tejidos que dan soporte al diente y cuya evolución sin tratamiento puede dar lugar a la pérdida de los dientes. Comúnmente es conocida como piorrea.

La periodontitis a menudo comienza con una gingivitis en la que las encías aparecen inflamadas y sangran con facilidad.

Las causas de la periodontitis pueden ser múltiples; desde luego la falta de higiene y el tabaquismo son factores muy frecuentes en personas desarrollan esta enfermedad. Otros factores son la genética ,el bruxismo y algunas enfermedades inmunológicas.

El diagnóstico precoz y la prevención son cruciales en su evolución pues si se coge a tiempo puede detenerse y evitar la pérdida de los dientes.

Los clásicos tratamientos de las afecciones periodontales: tatrectomía, raspaje y alisado radiculares, cirugía, etc. se ven en la actualidad complementados, por tratamientos que atacan por medio de antibióticos, tanto nuevos como ya existentes, a las bacterias causantes de la enfermedad gíngivo-periodontal.

Cuando la periodontitis a avanzado mucho el aspecto de los dientes puede ser antiestético y a pesar de contener el progreso de la enfermedad puede ser que se necesite un tratamiento adicional para devolver a los dientes un aspecto más estético.

ENVÍA TU CONSULTA,
TE CONTESTAREMOS

No dudes en ponerte en contacto
para cualquier duda o consulta.

CASO DE PERIODONTITIS