Ortega & Cubillo Clínica Dental

Casos Reales de exito

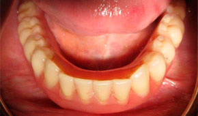
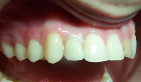
En nuestra clínica con el Dr. Pablo Ortega, experto en cirugía de implantes por la Universidad de Sevilla, tenemos amplia experiencia en la realización de implantes y posterior rehabilitación con prótesis implanto-soportada, es muy importante, a nuestro juicio, que haya absoluta coordinación entre la colocación de los implantes y la rehabilitación protética, en nuestro caso el Dr. Ortega se ocupa de ambas facetas para optimizar los resultados.

Nº1 REHABILITACIÓN COMPLETA IMPLANTOSOPORTADA

VER MÁS

Nº2 ESTABILIZACIÓN DE PROTESIS COMPLETA CON MINIMPLANTES

VER MÁS

Nº3 DENTADURA COMPLETA ESTABILIZAZA CON IMPLANTES

VER MÁS

Nº4 IMPLANTE UNITARIO

VER MÁS

Nº5 CIRUGÍA GUIADA POR ORDENADOR

VER MÁS